「歯垢」と「歯石」ってどう違うの?

「歯垢」と「歯石」ってどう違うの?

歯垢(しこう)と歯石(しせき)の違いは?

簡単に言うと、歯磨きで落とせるのが歯垢歯磨きでは落とせないのが歯石です。
歯石はとても硬く、歯医者さんで専用の道具や超音波を使って取ってもらわないといけません。

歯垢について

爪で歯をこすったときに取れる白くてネバネバしたもの、これが歯垢です。
歯垢は食べかすや汚れではなく、細菌のかたまりです。1ミリグラムの歯垢には300種類、何億もの細菌が住んでいます。
細菌は、糖分をエサにして増え、歯の表面にネバネバした物質を作りながら強くくっついていきます。歯垢の段階では歯磨きで取ることができますが、そのまま放置すると歯石に変わり、歯周病の原因になります。

歯垢を防ぐには、食べた後にしっかり歯を磨くことが大切です。食べ残しや飲み残しをそのままにしないようにしましょう。

歯石について

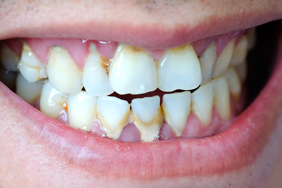
歯石のついた歯|大宮駅西口の歯医者、大宮いしはた歯科

歯石は、歯垢が硬くなったものです。歯磨きで落としきれなかった歯垢が、唾液に含まれるカルシウムなどの成分とくっついて石のように硬くなります。
驚くことに、歯垢はたった2日で歯石に変わります
歯石は歯と歯ぐきの境目や歯の間などにたまりやすく、歯磨きでは取ることができません。

放っておくと歯石はどんどん増えて硬くなり、その表面のザラザラに歯垢がたまりやすくなります。細菌がたくさんつくことで歯ぐきを刺激し、歯周病(ししゅうびょう)を引き起こしたり悪化させたりします。

歯周病について

歯周病は、あまり痛みがなく、気づかないうちに進行してしまう怖い病気です。大人の約90%が歯周病になるとも言われています。
歯周病を予防するには、歯ぐきの上にたまった汚れを自分できちんと取ることが大切です。
私たち歯医者は、歯ぐきの中の汚れを取るお手伝いをします。正しい歯磨きを始めるだけで、虫歯や歯周病の予防につながります。

一緒に頑張って健康な歯を守りましょう!

ご予約はこちらから

大宮いしはた歯科は患者さんへの声がけや気遣いを意識した
優しい・相談しやすい・わかりやすい説明をモットーに診療しております。

©医療法人社団樹伸会 大宮いしはた歯科

マップ。

×

ただいま募集しておりません。

×
時間/曜日
10:00~13:00 / /
14:30~19:00 / /

▲14:30~17:30 休診日:木・日・祝日 最終受付:午前・午後の終了時間の30分前

×

オフィスホワイトニングで
歯が白くなる理由

×
×
×