CTについて

CTについて

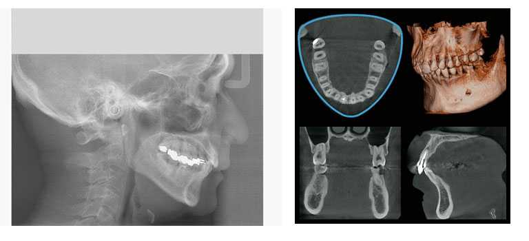
先進医療機器である歯科用CTレントゲンを導入しています。通常のデジタルレントゲンは白黒の2Dでのレントゲン撮影だけですが、歯科用CTレントゲンでは写真のような3Dでの撮影が可能です。

【使用用途】根幹治療・親知らず・歯周病治療・歯根の破折・歯列矯正・顎関節症・インプラント治療

CTについて・大宮いしはた歯科

撮影領域を選択できるため、患者様への放射線量を減らすことが可能です。CTレントゲンの利点は、骨の水分量や骨密度まで把握できる点にあります。若い患者様の場合、骨密度が高く、水分量も問題ないことが多いですが、高齢の患者様では骨密度や水分量が低い場合もあります。また、歯の下を通る神経の位置も個人差があります。

かつては歯科医師が経験や勘に頼って治療を行っていた時代もありましたが、CTレントゲンの導入により、根拠に基づいた治療が可能となりました。

CTのレントゲン撮影・大宮いしはた歯科

高画質セファロ

透過性が高く、高解像度の画像を撮影できるためトレースポイントが見つけやすくなっております。また、患者さまのサイズに合わせて5mm単位で設定可能な軟組織フィルターを搭載しています。0.5~0.8秒という短い時間で撮影できるので、撮影中の動きで画像がぼやけることが少なくなります。

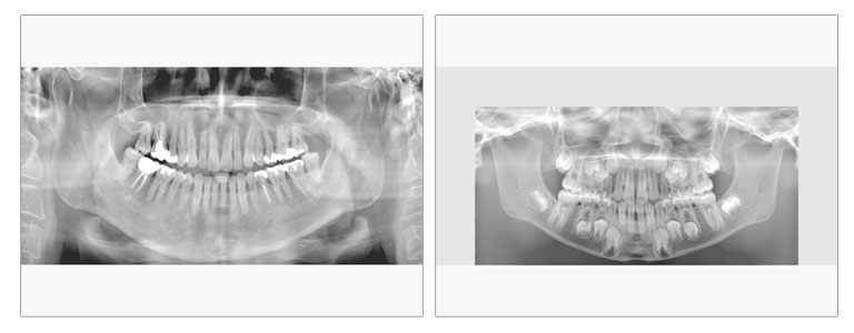
パノラマ

必要に応じて標準・幼児用・顎骨・直交のパノラマ撮影を切り替えられます。小児用パノラマ撮影では、お子様や顎の小さい患者さんに使用し、撮影範囲を小さくすることで、照射線量を低減することができます。

CTレントゲン撮影・大宮いしはた歯科
ご予約はこちらから

大宮いしはた歯科は患者さんへの声がけや気遣いを意識した
優しい・相談しやすい・わかりやすい説明をモットーに診療しております。

©医療法人社団樹伸会 大宮いしはた歯科

マップ。

×

ただいま募集しておりません。

×
時間/曜日
10:00~13:00 / /
14:30~19:00 / /

▲14:30~17:30 休診日:木・日・祝日 最終受付:午前・午後の終了時間の30分前

×

オフィスホワイトニングで
歯が白くなる理由

×
×
×