入れ歯作製の流れ

入れ歯作製の流れ

入れ歯制作の流れ・大宮いしはた歯科

入れ歯の治療検査・カウンセリング

入れ歯の治療の前の検査・カウンセリング・大宮いしはた歯科

この段階は極めて重要です。

まず、患者様の口の中の状態やこれまでの入れ歯の使用状況を確認し、入念に治療計画を立てます。現在の歯の状態を説明し、過去の入れ歯の問題点を整理する必要があります。

患者さんの悩みはさまざまです。例えば、「痛みで食事ができない」「入れ歯のばねが気になる」「話しにくい」「違和感があって入れ歯が使えない」「入れ歯がズレてしっかり噛めない」「入れ歯を使っていると歯がゆるんで抜けた」といった内容です。

患者様の悩みをお聞きした後、適切な入れ歯を提案し、大まかな費用と治療期間を提示します。その後、治療について検討していただきます。何か分からないことがあれば、どんな些細なことでもお気軽にご相談ください。

治療用義歯の作成

治療用義歯の作成・大宮いしはた歯科

当院では、入れ歯治療を始める際に、まず治療用の仮義歯を作成します。

歯の位置関係や噛み合わせがずれている場合、それを修正するための治療が必要です。そのため、治療用の仮義歯を使用して、患者様の上下の歯の位置関係や噛み合わせを調整します。

入れ歯の使用方法を学ぶ必要があります。特に、これまで入れ歯を使用した経験がない方は、入れ歯の使い方を習得するための時間が必要です。そのため、治療用の仮義歯を使って入れ歯の咬み方を覚えることが重要です。

歯の位置関係や噛み合わせがずれている場合は、まずそれを調整する必要があります。また、入れ歯を使いこなすためには、練習が必要です。したがって、当院では治療を開始する際に、治療用の仮義歯を作成しています。

仮義歯を使用した治療が完了してから本物の義歯を作成します。

入れ歯の調整の様子・大宮いしはた歯科

顎を動かす筋肉や舌を動かす筋肉、歯ぐき、下顎の関節などが長い間、正しい位置で機能していないと、新しい入れ歯を受け入れるのが難しくなります。そのため、新しい入れ歯を入れてもうまく機能しない場合があります。

そこで、当院では入れ歯を製作する際に、まず正しい位置で機能する治療用の仮義歯を作成し、かみ合わせの高さや顎の位置に問題がないかを確認します。患者さんも、今までの義歯とは異なる高さや顎の位置で作成された仮義歯に適応できるかを確認するリハビリ期間が必要です。

治療用義歯の役割について・大宮いしはた歯科

治療用の仮義歯は、顎が正しい位置で機能するようにするリハビリ装置とも言えます。

リハビリ期間中には、歯周病の治療や被せ物・詰め物の交換などが行われ、入れ歯を入れるのに問題のない環境が整えられます。その後、最終的な本物の義歯を製作していきます。治療用の仮義歯の使用期間は個々に異なります。歯の準備(歯周病治療や被せ物の交換など)にかかる期間は、1~2ヶ月で終わる場合もありますし、半年ほどかかることもあります。

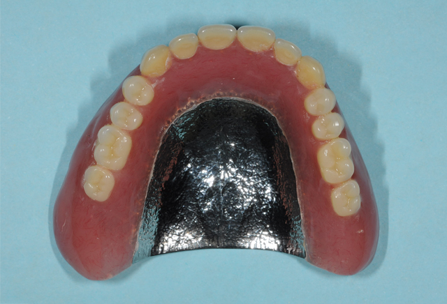
コーヌス義歯

コーヌス義歯・大宮いしはた歯科

ドイツ式超精密入れ歯とも呼ばれます。

茶筒のふたが外れにくいのはお分かりかと思いますが、この仕組みを利用した入れ歯です。通常の部分入れ歯のように金属製のバネで他の歯に引っ掛ける形式ではなく、残っている歯に内冠という冠を被せて(茶筒でいうと本体側)、入れ歯内部に作られた外冠(茶筒でいうとふた側)と装着時に一体化する治療法です。これにより、入れ歯と残っているご自身の歯が「一体化した固定装置」となり、入れ歯をしっかりと支えることができます。そのため、入れ歯に求められる要件である動かない・汚れない・壊れないという点をすべて兼ね備えており、お肉や餅も噛むことができます。

対応ケース:2本以上歯がないケースから適応できます。
費用:50万円~です。
耐久性:30年程度使えているケースもあり、最も長持ちすることが期待できる入れ歯です。

ノンクラスプデンチャー
(審美義歯、ミラクルデンチャー、ソケット等)

ノンクラスプデンチャー・大宮いしはた歯科

保険の入れ歯を使うと、金属製のバネが目立ち、他人にもすぐに分かってしまいます。しかし、ノンクラスプデンチャーではバネの部分がピンク色になり、歯茎の色と同化するため、他人から見ても入れ歯の存在がわからなくなります。また、見えない部分に金属を使うので、床の部分が薄く作れます。そのため、装着感も良く、固定する部分と床が一体化しているため、適合性が優れています。この入れ歯は、保険の入れ歯と比べても、残っている歯を傷つけるリスクが少なく、安定してよく噛むことができます。
フィット感がよいので初めて入れ歯を作られる方にもおすすめです。また、金属のバネが見えるのが気になる方や歯が締め付けられたり、違和感がある方にもお勧めします。部分入れ歯用の義歯なので2~3本の少数の歯がなくなってしまっている向けの義歯です。

対応ケース:1本の歯がないケースから適応できます。
費用:10万円~です。
両側にまたがるケースでは35万円~となります。
耐久性:10年程度は使用使用可能。
補足:金属アレルギーのある方には金属を一切使用しないタイプの製作可能です。

金属床義歯
(ミリングデンチャー、アタッチメント義歯等)

金属床義歯・大宮いしはた歯科

金属床(メタルプレート)義歯は、金属で作られた入れ歯の主要部分を指します。保険の入れ歯では、床の部分がレジン(プラスチック)で作られています。ただし、強度を確保するために、ある程度の厚みが必要です。平均して1.5〜2mmの厚さが必要であり、これによりある程度の違和感が生じます。

一方、金属床はプラスチックよりもはるかに強度があり、そのため薄く作ることができます。厚みはプラスチックの3分の1〜4分の1程度にまで薄くすることができ、その結果、違和感が非常に少なくなります。また、熱を伝えやすい性質があるため、美味しく食事を楽しむことができます。金属床は残っている歯にぴったりとフィットするため、歯を傷めたり壊したりすることがありません。保険の入れ歯よりもずっとしっかりと噛むことができます。入れられた患者さんは、保険の入れ歯とは全く異なる装置だと感じることがあります。

対応ケース:1本の歯がないケースから適応できます。
費用:10万円~です。
両側にまたがるケースでは30万円~です。
耐久性:10年程度は使用可能。

コンフォート義歯

コンフォート義歯・大宮いしはた歯科

特殊なシリコーンのクッションを使用し、入れ歯の硬いプラスチックでできた歯ぐきに当たる面に取り付けます。このクッションは柔らかさを持続し、歯ぐきにかかる圧力を和らげ、噛む際の痛みを軽減します。これにより、硬いものでもしっかりと噛むことができ、食べ物を選ぶ制約がありません。また、特殊なシリコーンの弾力が顎の動きに吸着し、噛むときに入れ歯が外れにくくなり、安定性が増します。このクッションは食事や会話中にも外れにくく、細かい食べ物が入れ歯と歯ぐきの間に挟まる心配がありません。歯茎が薄い方や感覚が敏感な方、入れ歯による痛みで悩んでいる方には特にお勧めです。

対応ケース:2本以上歯がないケースから適応できます。
費用:40万円~です。
耐久性:10年程度は使用できると言えるでしょう。
ご予約はこちらから

大宮いしはた歯科は患者さんへの声がけや気遣いを意識した
優しい・相談しやすい・わかりやすい説明をモットーに診療しております。

©医療法人社団樹伸会 大宮いしはた歯科

マップ。

×

ただいま募集しておりません。

×
時間/曜日
10:00~13:00 / /
14:30~19:00 / /

▲14:30~17:30 休診日:木・日・祝日 最終受付:午前・午後の終了時間の30分前

×

オフィスホワイトニングで
歯が白くなる理由

×
×
×