歯石除去はパウダークリーニング|エアフロー

歯石除去はパウダークリーニング|エアフロー

エアフロー ハンディ3.0 MORITA

歯科・エアフロー|大宮西口・いしはた歯科

歯のクリーニングを行う時に、快適にすばやく歯面清掃を行うことが出来るパウダークリーニングを、このエアフローという機材で歯科衛生士が行います。
ステインなどの着色やタバコのヤニなど汚れが多い時に、またはいつもの定期検診の歯のクリーニングのワンランク上の歯面清掃にお選びください。

1回/3300円(税込):30分
汚れが多い方は1回/5500円(税込):60分

ハンディーパウダー PMTC+

パウダー粒子が細かく縁上のバイオフィルムやステイン等の除去に最適です。
ほのかな甘みのパウダーです。

主成分:エリスリトール
平均粒径:14μm

ハンディーパウダー MINT

研磨効果が高く、汚れが強固であったりたくさんある場合に使用します。
縁上の強固なステイン除去に効果的です。

主成分:炭酸水素ナトリウム
平均粒径:40マイクロメートル

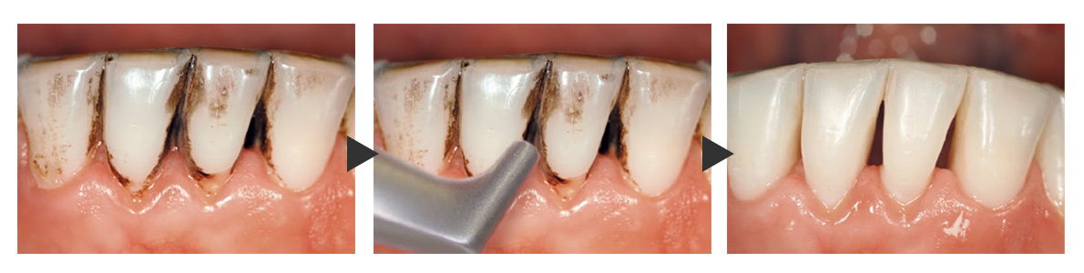
ハンディパウダーミントを使ったステインの除去・清掃

ハンディパウダーミントを使ったステインの除去・清掃

ハンディーパウダーミントを使用した症例です。なかなか除去できない強固なステインを効率よく除去します。
※あくまで症例です。すべての患者さまが同じようになるとは限りません。
診断時にご自分の口腔内のご説明を歯科医師・歯科衛生士からご説明させて頂きます。

歯科衛生士が分かりやすくご説明

歯科衛生士・大宮いしはた歯科

当院、大宮いしはた歯科では歯のクリーニングはプロケアの国家資格である歯科衛生士がご担当させて頂きます。
患者さんの口腔内の汚れや歯磨きの癖、個人婚で違う歯並びにおける磨き残しが多い部分など丁寧にアドバイスさせて頂けます。

パウダーメインテナンスのご興味ある方は、治療時や定期検診などの時にお声がけ下さい。
また、ご予約時(WEB予約の時のコメント)などでお声がけ頂くとスムーズにご案内頂けます。

ご予約はこちらから

大宮いしはた歯科は患者さんへの声がけや気遣いを意識した
優しい・相談しやすい・わかりやすい説明をモットーに診療しております。

©医療法人社団樹伸会 大宮いしはた歯科

マップ。

×

ただいま募集しておりません。

×
時間/曜日
10:00~13:00 / /
14:30~19:00 / /

▲14:30~17:30 休診日:木・日・祝日 最終受付:午前・午後の終了時間の30分前

×

オフィスホワイトニングで
歯が白くなる理由

×
×
×